eISSN: 3023-6940
  • Home
  • Correction to: A Rare Case of Bladder Tumor: Squamous Cell Papilloma
E-SUBMISSION

Correction

Corrected version can be accessed via the following link: https://doi.org/10.33719/nju1630050

Correction to: A Rare Case of Bladder Tumor: Squamous Cell Papilloma


1 Department of Urology, Recep Tayyip Erdoğan University Training and Research Hospital, Rize, Türkiye
2 Department of Pathology, Recep Tayyip Erdoğan University Training and Research Hospital, Rize, Türkiye


DOI : 10.33719/nju1804400
New J Urol. 2025;20(3):212-213.

Abstract

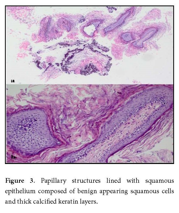
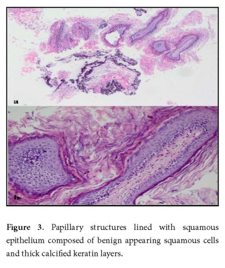
In the published PDF version of the A Rare Case of Bladder Tumor: Squamous Cell Papilloma, Figures 1, 2, and 3 were inadvertently omitted due to a publisher error. 

We apologize to our readers and the research community for this oversight. A corrected and complete version of the article, which includes the missing visuals, has been re-published with this erratum notice. 

The purpose of this correction is to maintain an accurate scientific record.

Corrected version can be accessed via the following link: https://doi.org/10.33719/nju1630050


Abstract

In the published PDF version of the A Rare Case of Bladder Tumor: Squamous Cell Papilloma, Figures 1, 2, and 3 were inadvertently omitted due to a publisher error. 

We apologize to our readers and the research community for this oversight. A corrected and complete version of the article, which includes the missing visuals, has been re-published with this erratum notice. 

The purpose of this correction is to maintain an accurate scientific record.

Corrected version can be accessed via the following link: https://doi.org/10.33719/nju1630050